ENFERMEDADES DEL CRÁNEO
Estos procesos pueden ser evaluados con detalle y tratados de forma individualizada en la consulta de neurocirugía del Dr. Emilio González, en la Clínica Ponferrada. Consúltanos para valorar la mejor opción de tratamiento.
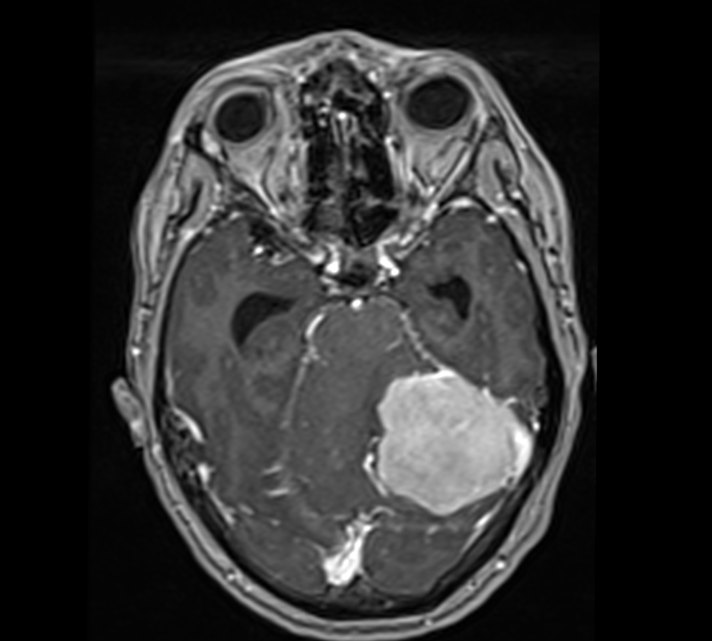
Tumores cerebrales
Gliomas hemisféricos, meningiomas, o schwanomas son algunos tumores que pueden asentar en el cráneo.
Producen una constelación de síntomas, y su diagnóstico exige de la realización de una resonancia magnética.
Algunos de ellos se localizan en la corteza cerebral, pero no es infrecuente otras localizaciones como la base del cráneo.
Cada caso exige un enfoque, un abordaje, y una técnica individualizada. Poder determinar con precisión cada uno de estos aspectos requiere de alto grado de conocimiento y formación.
En nuestra consulta deseamos ayudarte de dos maneras. Te podemos orientar para decidir el tratamiento más adecuado o podemos ofrecerte una segunda opinión. Una segunda opinión puede tener en cuenta aspectos no considerados previamente.


Neuralgia del trigémino
La neuralgia del trigémino es un dolor electrizante y agudo irradiado por una o varias ramas del nervio trigémino en un lado de la cara. La intensidad del dolor ha llevado ser conocida como «la enfermedad del suicidio». La causa muy posiblemente sea debida a la existencia de una compresión del nervio trigémino por una arteria cerebelosa en su lugar de salida del tronco-encéfalo.
Afortunadamente, hoy en día existe un tratamiento médico con muy buenos resultados.
Sin embargo, cuando el tratamiento médico es insuficiente o las reacciones adversas intolerables, puede realizarse alguna de las técnicas quirúrgicas disponibles.
– Microdescompresión vascular: resolver la compresión del nervio trigémino por la arteria, aliviándose el dolor de manera inmediata y duradera.
– Técnicas ablativas sobre el nervio: intentan lesionar el nervio trigémino para que pierda su capacidad de transmitir la sensibilidad dolorosa como son la radiofrecuencia, compresión con balón o radiocirugía.
Determinar la técnica idónea para cada paciente requiere de un conocimiento preciso de la enfermedad, y los factores que influyen en una buena respuesta a la intervención.
Te podemos asesorar a elegir la técnica más idónea y óptima para aliviar tu dolor.
Hidrocefalia
Existen dos tipos de hidrocefalias: aguda y crónica. La hidrocefalia aguda ocurre de manera abrupta por la interrupción de la circulación de líquido cefalorraquídeo, y esta obstrucción debe salvarse para aliviar la presión intracraneal y salvaguardar la vida del paciente.
Sin embargo, la hidrocefalia crónica es un cuadro clínico de trastorno de la marcha, incontinencia urinaria y/o fecal, y demencia.
– Trastorno de la marcha: pasos cortos con marcha imantada.
– Incontinencia urinaria, inicialmente el trastorno de la marcha dificulta llegar al baño, pero según progresa la enfermedad se inicia una incontinencia donde el paciente no advierte el trastorno, y se orina encima.
– Deterioro cognitivo con cambios del comportamiento con apatía y desgana.
El diagnóstico se fundamenta en una entrevista clínica minuciosa, una prueba de resonancia magnética, y otros tipos de pruebas complementarias como el test de infusión o el tap test. Poder determinar aquellos pacientes que se beneficiarán de la colocación de un sistema derivativo del líquido cefalórraquídeo (o válvula) exige un estudio concienzudo y exhaustivo.

